Twój idealny uśmiech
Instytut Stomatologii Protetyki i Implantologii Agia Dent to miejsce, gdzie profesjonalizm, nowoczesność i troska o pacjenta tworzą doskonałą opiekę stomatologiczną. Nasz zespół składa się z wybitnych specjalistów:
dr hab. n. med. Łukasza Pałki, dr hab. n. med. Bartosza Dalewskiego oraz lek. stomatologa Filipa Janika, których bogaty dorobek naukowy i praktyczne doświadczenie gwarantują najwyższy poziom opieki stomatologicznej.
Indywidualne podejście do pacjenta sprawia, że każda wizyta to komfortowe i bezstresowe doświadczenie, szczególnie dla osób z lękiem przed stomatologiem.
Umów wizytę już dziś: +48 531 876 622
Oferta Instytutu
Profilaktyka Stomatologiczna
Profilaktyka stomatologiczna jest kluczowym elementem utrzymania zdrowia jamy ustnej. Regularne wizyty pozwalają na wczesne wykrycie i leczenie problemów stomatologicznych, zapewniając zdrowy i piękny uśmiech przez całe życie.
Stomatologia Zachowawcza
Stomatologia zachowawcza jest jednym z kluczowych elementów ochrony i dbania o zdrowie Twoich zębów. Naszym celem jest zapobieganie, diagnozowanie oraz leczenie wszelkich chorób zębów, a także ich odbudowa i ochrona przed dalszymi uszkodzeniami.
Protetyka Stomatologiczna
Protetyka stomatologiczna to dział stomatologii zajmujący się odtwarzaniem estetyki i funkcji zębów. Protetyk przywraca lub tworzy od nowa piękny uśmiech. W Instytucie wykonujemy wszystkie rodzaje uzupełnień protetycznych z najnowszych materiałów.
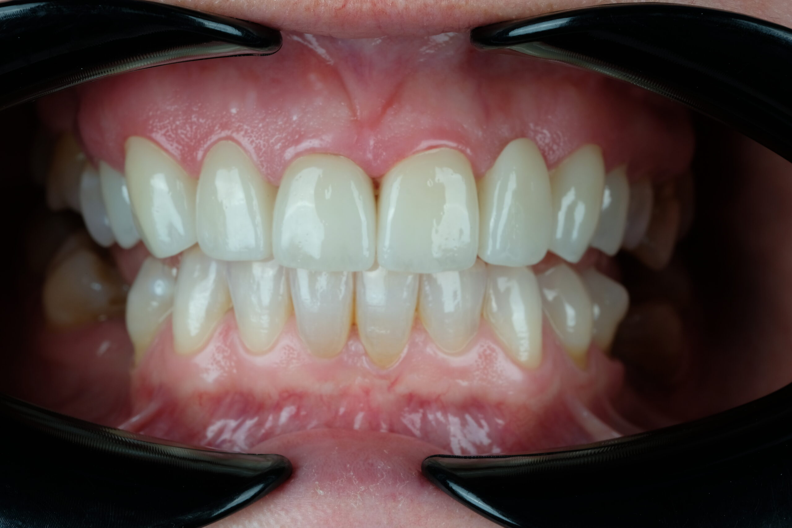
Analiza fotograficzna uśmiechu
Fotografia stomatologiczna pozwala na stworzenie cyfrowego portretu pacjenta. To element diagnostyki, rejestracji przebiegu leczenia, tworzenia dokumentacji. Narzędzie komunikacji pomiędzy pacjentem, lekarzami i technikiem dentystycznym.
Chirurgia Stomatologiczna
Sed porttitor lectus nibh. Nulla porttitor accumsan tincidunt. Vestibulum ante ipsum primis
Hollywood Smile, Implanty
Sed porttitor lectus nibh. Nulla porttitor accumsan tincidunt. Vestibulum ante ipsum primis
Stomatologia Estetyczna
Sed porttitor lectus nibh. Nulla porttitor accumsan tincidunt. Vestibulum ante ipsum primis
Bonding
Sed porttitor lectus nibh. Nulla porttitor accumsan tincidunt. Vestibulum ante ipsum primis
Leczenie Bólu w Obrębie Twarzoczaszki
Sed porttitor lectus nibh. Nulla porttitor accumsan tincidunt. Vestibulum ante ipsum primis
Leczenie Bóli Migrenowych
Sed porttitor lectus nibh. Nulla porttitor accumsan tincidunt. Vestibulum ante ipsum primis
Bezdech Senny
Sed porttitor lectus nibh. Nulla porttitor accumsan tincidunt. Vestibulum ante ipsum primis
Bruksizm
Sed porttitor lectus nibh. Nulla porttitor accumsan tincidunt. Vestibulum ante ipsum primis
Twój Uśmiech Zaczyna się Tutaj
Zapytaj o wizytę mailowo
lub zadzwoń +48 531 876 622
Twój Idealny Uśmiech jest Naszą Misją
Rejestracja od Poniedziałku do Piątku 8.00 – 17.00
Umów wizytę już dziś


